All Ceramic Metal Free Crowns
The evolution of restorations
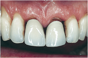
Traditionally, crowns and bridges were made of metal, because it is strong and relatively inexpensive. Then came porcelain fused to metal restorations, which came closer to the look of real teeth and provided strength, durability and fit.
But it is difficult to achieve the translucency of your natural teeth with a restoration that has a metal framework. Light does not pass through the metal restoration like it does through your own teeth, leaving a dull, lifeless appearance. In addition, over time, the metal framework can leave a dark ridge where the gums recede.
Why is all-ceramic a wise alternative?
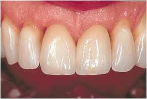
Ceramics meet the highest aesthetic expectations and are biocompatible.
All-ceramic restorations do not have a metal core.
Therefore, light can shine through the restorations as it does in natural teeth. In addition, the adjoining gum will show no dark metal edges.
Ceramic material is colourfast and wear-resistant. In addition, the low heat conduction protects the dental nerve, which is very sensitive to temperature changes.
IPS E.MAX
IPS E.MAX is a modern all-ceramic system which is characterized by a few, coordinated, metal-free materials. Depending on the defect that needs to be repaired, your dentist will choose a material with the required strength from which a framework for the tooth replacement is fabricated.
After the all-ceramic framework has been constructed, the dental technician covers or “veneers” it with a special ceramic material. Regardless of the framework material used, the material that covers it is always the same. Therefore, two or more IPS E.MAX restorations perfectly match each other in colour.
IPS E.MAX is ideally suitable for bridges and crowns.
Your smile deserves something more precious than metal. Bring out the natural beauty in your smile.
Lava Crowns
Today, there’s a solution as beautiful as nature itself: 3M™ ESPE™ Lava™ Zirconia restorations.
Lava Zirconia offers the benefits of porcelain fused to metal - strength and longevity.
Just as important, Lava zirconia restorations can be matched precisely to the colour of your own teeth and provide the natural translucency that metal-based restorations can’t.

How Lava zirconia restorations are made:
To make a Lava™ crown or bridge, your dentist will take an impression of your mouth, and send it to a laboratory. There, a technician, using computer-aided design technology, will use the impression to create a model of your mouth. After creating a precise framework for your restoration, a dental technician will build up layers of ceramic onto the framework so that the final restoration will match your natural teeth. The completed restoration will then be delivered to your dentist who will fit it for you.
Ask your dentist to tell you more.
